Ecografía ocular

ECOGRAFÍA OCULAR

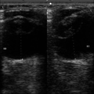
Ecografia OcularLa ecografía ocular es una técnica de diagnóstico rápida y sencilla, la que nos permite evaluar el ojo, sus estructuras internas y externas, por detrás del globo ocular. Por lo general están indicadas cuando hay opacidades corneales que no permiten evaluar el ojo internamente, y así por medio de la ecografía conocer el estado del cristalino, la retina, la presencia de tumores y hemorragias internas (en casos traumáticos) tambien de sospecha de cuerpos extraños, tumores y afecciones retro bulbares.

En todo caso debe estar indicada por el veterinario de cabecera u oftalmólogo veterinario, a través de una orden escrita y sellada.

Es importante tener en cuenta que se necesitara la cooperación del o los propietarios para poder sujetar y posicionar al paciente, por lo general, en decúbito esternal (sentado en cuatro patas con el pecho sobre la camilla) teniendo en cuenta que se debe evitar la sedación general del animal, ya que la mayoría de los fármacos producen la protrusión del tercer parpado. También se recuerda que muchas veces se deberá cortar el pelo de los parpados superiores, como así también es necesario, un tiempo previo extra, para colocar unas gotitas anestésicas sobre la córnea del ojo.

Send via WhatsApp